矯正歯科の
実績と方針

Orthodontics Policy
トップページ > 治療方針 > 矯正歯科の実績と方針
1,000症例の実績&インプラントインストラクター 1,000症例の実績&インプラントインストラクター

矯正歯科に対応している歯科医院は数多くあります。しかし、その技術や知識、経験は「人」それぞれです。どれだけ大きな歯科医院でも治療を行うのは、歯科医師です。
矯正症例実績500症例以上は、理事長個人の実績です。その為、多くの口腔環境のケースと向かい合ってきた経験、そして、それに対する矯正治療実績がございます。

また、理事長は矯正治療において歯並びだけでなく顔貌から口元も含めたトータル的な矯正治療をコンセプトとした「FTA」と呼ばれるスタディーグループのメインインストラクターを務めています。

当院の矯正治療は「現状の把握」から始めます。一般的な検査に加え、骨格系の計測など多角的な資料採取により患者様の状態を把握します。重要なのは単に検査をするだけでは、意味がないという事です。検査を行い、そこで得た資料を歯科医師がしっかり精査を行い、現在の状態を認識しなければ、本当の意味での良い治療は提供できないと考えております。
和泉市で矯正治療をお考えの方は、矯正無料カウンセリングを実施しておりますので、是非、和泉市の歯医者 にしだ歯科・矯正歯科クリックへご来院ください。

理事長:西田耕介
理事長 西田 耕介
Chairman Nishida Kosuke
インストラクター インストラクター
FULL MOUTH
口腔全体の調和 美しい口元

全顎的かつ包括的な
矯正治療をご提案

矯正歯科は本来「不正咬合(悪いかみ合わせ)」を「正常咬合(正しいかみ合わせ)」に治す治療です。
病気を治すのと同じように歯の正常な咀嚼(そしゃく)機能を取り戻し、お口から心身ともに健康な状態にする歯科治療なのです。
矯正治療を通じ、将来的な歯の欠損や歯周病のリスクを軽減させ、一生涯ご自身の歯を残す土台づくりを行います。

もちろん、審美性の追求も怠りません。
矯正治療において重要なEラインやスマイルライン、ブラックトライアングルなどの調整に加え、「ホワイトニング」「セラミック治療」など歯の審美修復も可能です。

和泉市の歯医者 にしだ歯科・矯正歯科クリックでは、機能面・審美面両方の治療計画を綿密に立て、ご提案・治療を行っております。
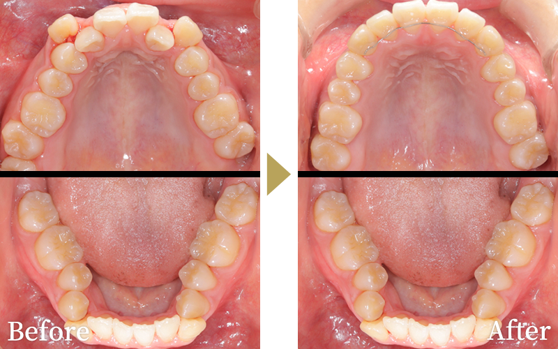
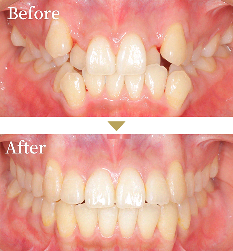
そして、ほぼ全ての矯正症例を治療開始から治療終了まで経過とともに厳密な記録を取り、資料採取及びデータ確認を怠らず、日々研鑽を積んでおります。以下に記録の一部を症例としてご紹介いたしますので、是非ご覧ください。

症例1
矯正治療により
口腔全体の機能性と審美性を
回復させた症例

矯正症例1
矯正症例1
主訴  
治療内容  
治療期間  
標準費用
(自費)
リスク
副作用
  • 矯正終了後、決められた期間保定装置を装着しないと後戻りすることがあります。
  • 歯根吸収や歯肉退縮などが起こる可能性があります。
  • ワイヤー矯正の場合、ブラケットが口を傷付けることがあり、口内炎なども起きやすくなります。
  • ワイヤーを用いた矯正期間中は、ブラケットの隙間に食べ物が挟まりやすく、歯磨きもしにくいため、虫歯や歯周病になりやすくなるため、日々のメンテナンスが必要です。

矯正歯科治療で
当院が選ばれる 3 つの理由

セファロ付き歯科用CT
01セファロ付き
歯科用CTによる
骨格的な計測・診断

歯科用CTにより目には見えない口腔の状態が3Dで把握することが可能です。加えて、当院のCTには、正確な矯正治療を行う上で、必須のツールの一つである「セファロ」機能も搭載されております。
矯正歯科用の特別なレントゲンであるセファロ(=顔面・頭部のX線撮影)は、世界共通の規格に基づき撮影を行い、顎の大きさや形態、上下の顎の位置関係、歯と顎の位置関係、歯の傾き、お口全体のバランスというような骨格系の計測が可能です。

マウスピース矯正
02マウスピース矯正と
ワイヤー矯正の両方に対応

当院では、透明で目立たない「マウスピース矯正」と、幅広い症例に対応可能な「ワイヤー矯正」の両方に対応しています。
マウスピース矯正はその手軽さから人気の方法ですが、症例によっては矯正が困難な場合もあります。患者様の歯並びがマウスピース矯正に適しているのか、豊富な経験と医学的根拠に基づいた診断で適切に見極めます。また、万が一、マウスピース矯正の治療において経過が思わしくない場合でも、どちらの技術も習熟しているため、スムーズにリカバリーや調整が可能です。

FTA治療コンセプト
03真に健康で美しい
歯並びを目指す
FTA治療コンセプト

FTA治療コンセプトとは、「現状の把握」・「原因の究明」・「治療計画」により治療ゴールを設定し、治療を進める考え方です。
歯だけではなく、顔貌から口元も含めトータルに精密な診査診断を行います。上記のようなセファロレントゲンによる骨格系の計測や様々な資料収集を行うことで、多角的に現状の把握が可能です。そこで得た資料をしっかり精査し、患者様と一緒に治療ゴールを決定します。

COUNSELING
矯正歯科、インプラント
お考えの方は、お気軽に
『無料相談』をご利用ください
矯正無料相談
直近の予約可能日
インプラント無料相談
直近の予約可能日
にしだ歯科・矯正歯科クリニック
〒594-0023
大阪府和泉市伯太町6-11-45

【JR信太山駅より徒歩3分】
【専用駐輪場5台完備】

tel 0725-44-1188

診療時間
9:00~12:00
13:00~18:00

【休診日】木曜日、祝日

トップへ