矯正歯科症例集

Case
トップページ > 矯正歯科症例集
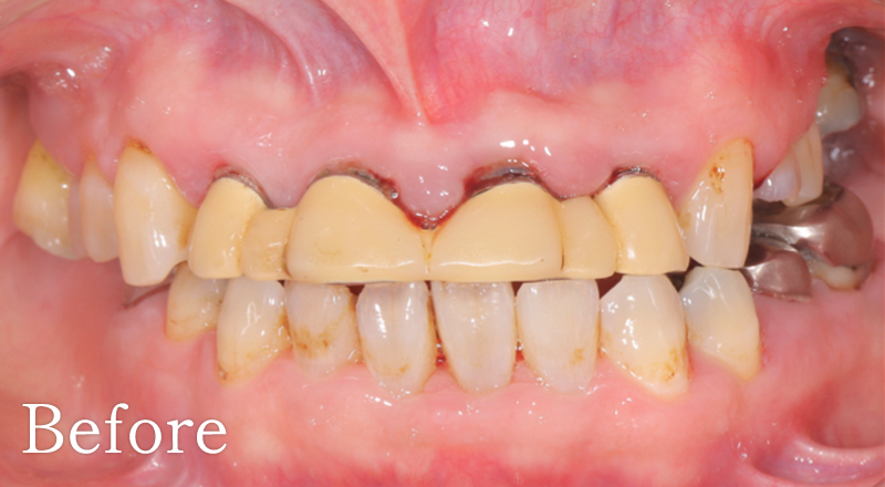
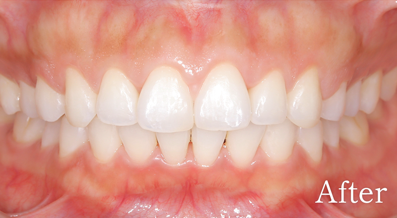
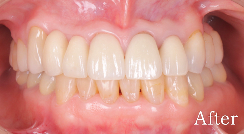
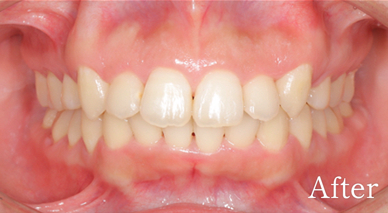
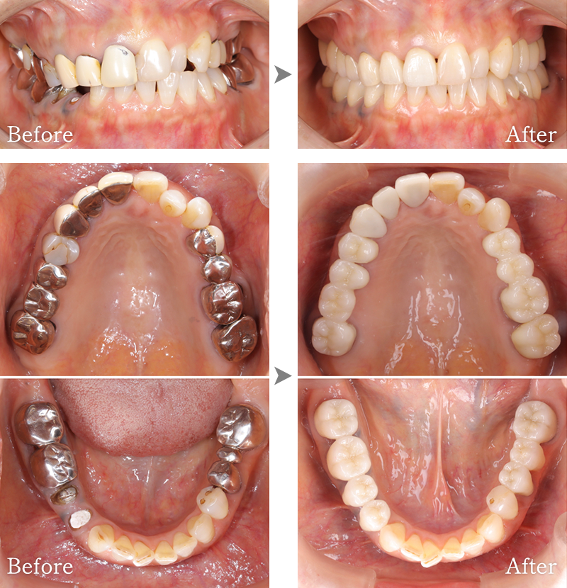
CASE1
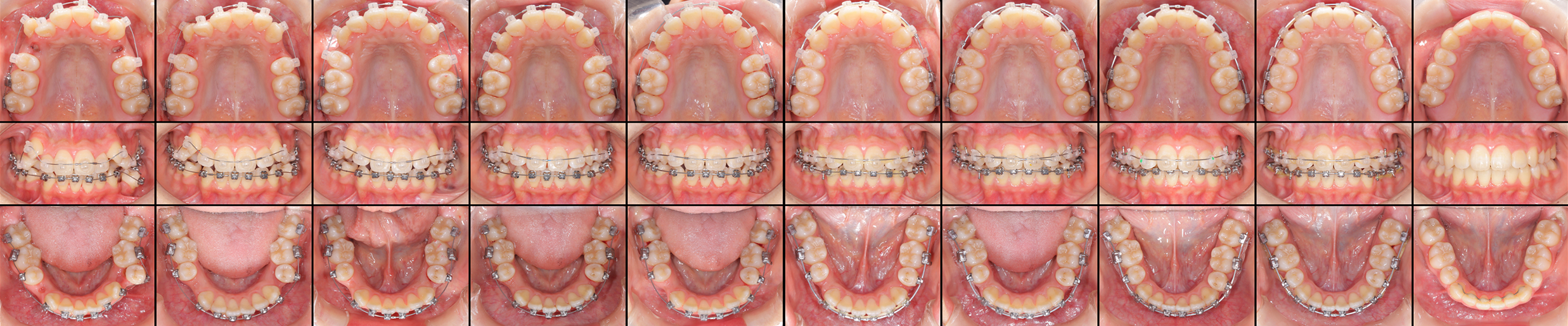
マークをスライドしてご覧ください
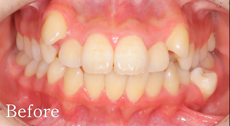
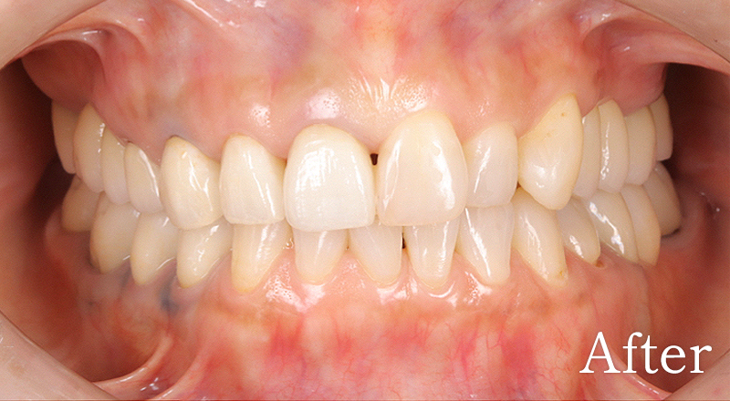
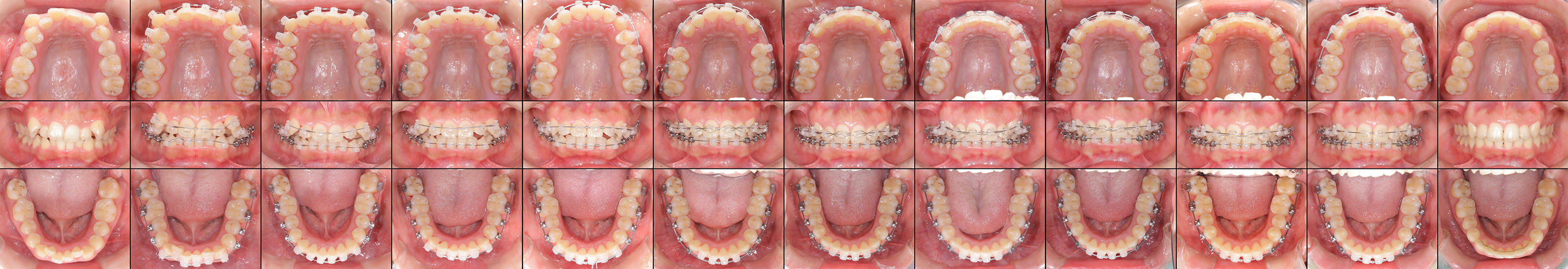
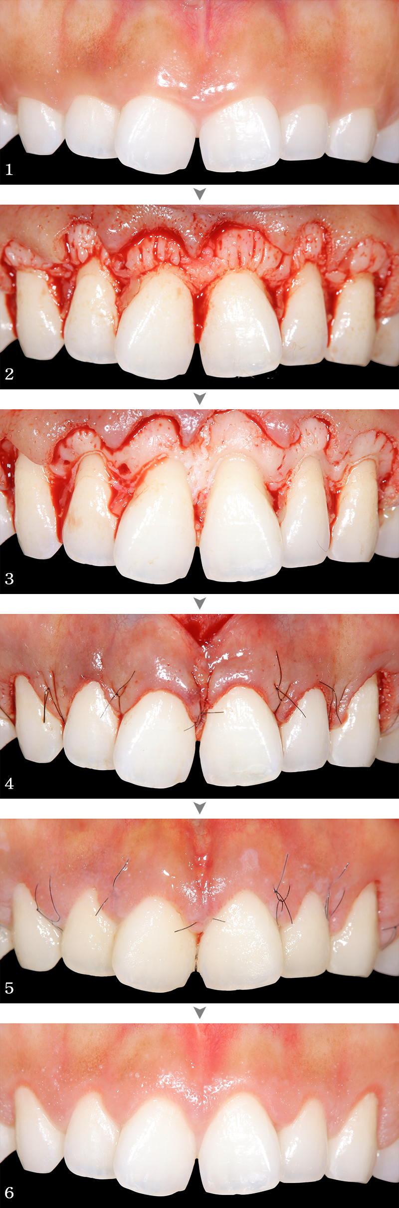
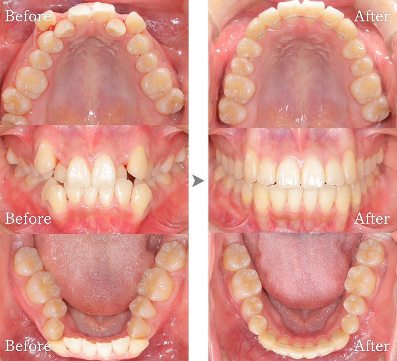
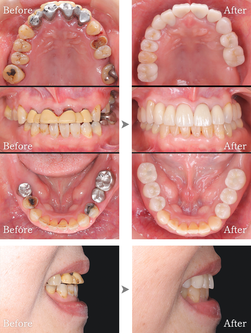
矯正歯科症例1
矯正歯科症例1
主訴
治療内容
治療期間
費用 円(税込)
リスク
副作用
  • 矯正終了後、決められた期間保定装置を装着しないと後戻りすることがあります。
  • 歯根吸収や歯肉退縮などが起こる可能性があります。
  • ワイヤー矯正の場合、ブラケットが口を傷付けることがあり、口内炎なども起きやすくなります。
  • ワイヤーを用いた矯正期間中は、ブラケットの隙間に食べ物が挟まりやすく、歯磨きもしにくいため、虫歯や歯周病になりやすくなるため、日々のメンテナンスが必要です。
CASE2
マークをスライドしてご覧ください
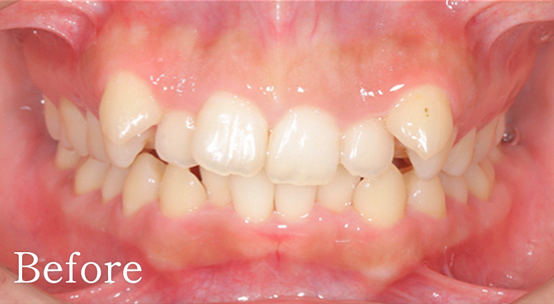
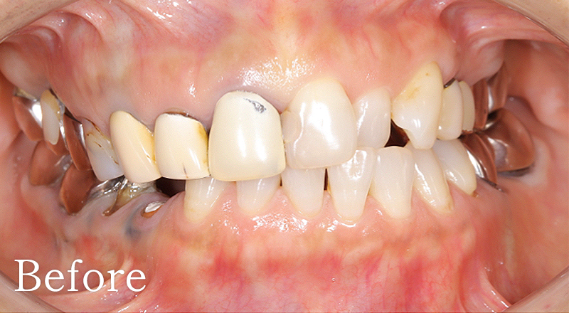
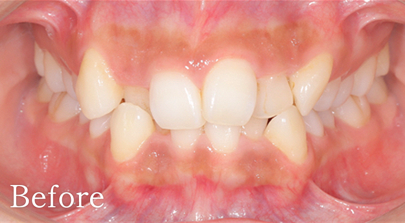
矯正歯科症例2
矯正歯科症例2
主訴
治療内容
治療期間
費用 円(税込)
リスク
副作用
  • 矯正終了後、決められた期間保定装置を装着しないと後戻りすることがあります。
  • 歯根吸収や歯肉退縮などが起こる可能性があります。
  • ワイヤー矯正の場合、ブラケットが口を傷付けることがあり、口内炎なども起きやすくなります。
  • ワイヤーを用いた矯正期間中は、ブラケットの隙間に食べ物が挟まりやすく、歯磨きもしにくいため、虫歯や歯周病になりやすくなるため、日々のメンテナンスが必要です。
CASE3
マークをスライドしてご覧ください
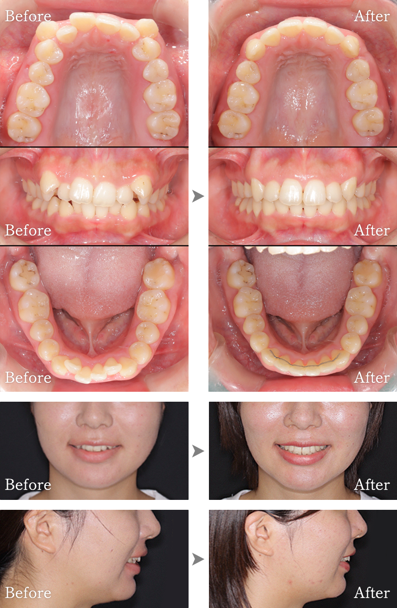
矯正歯科症例3
矯正歯科症例3
主訴
治療内容
治療期間
費用 円(税込)
リスク
副作用
  • 矯正終了後、決められた期間保定装置を装着しないと後戻りすることがあります。
  • 歯根吸収や歯肉退縮などが起こる可能性があります。
  • ワイヤー矯正の場合、ブラケットが口を傷付けることがあり、口内炎なども起きやすくなります。
  • ワイヤーを用いた矯正期間中は、ブラケットの隙間に食べ物が挟まりやすく、歯磨きもしにくいため、虫歯や歯周病になりやすくなるため、日々のメンテナンスが必要です。
CASE4
マークをスライドしてご覧ください
矯正歯科症例4
矯正歯科症例4
主訴
治療内容
治療期間
費用 円(税込)
リスク
副作用
  • 矯正終了後、決められた期間保定装置を装着しないと後戻りすることがあります。
  • 歯根吸収や歯肉退縮などが起こる可能性があります。
  • ワイヤー矯正の場合、ブラケットが口を傷付けることがあり、口内炎なども起きやすくなります。
  • ワイヤーを用いた矯正期間中は、ブラケットの隙間に食べ物が挟まりやすく、歯磨きもしにくいため、虫歯や歯周病になりやすくなるため、日々のメンテナンスが必要です。
CASE5
マークをスライドしてご覧ください
矯正歯科症例5
矯正歯科症例5
主訴
治療内容
治療期間
費用 円(税込)
リスク
副作用
  • 矯正終了後、決められた期間保定装置を装着しないと後戻りすることがあります。
  • 歯根吸収や歯肉退縮などが起こる可能性があります。
  • ワイヤー矯正の場合、ブラケットが口を傷付けることがあり、口内炎なども起きやすくなります。
  • ワイヤーを用いた矯正期間中は、ブラケットの隙間に食べ物が挟まりやすく、歯磨きもしにくいため、虫歯や歯周病になりやすくなるため、日々のメンテナンスが必要です。
CASE6
マークをスライドしてご覧ください
インプラント症例1
インプラント症例1
主訴
治療内容
治療期間
費用 円(税込)
リスク
副作用
  • 矯正終了後、決められた期間保定装置を装着しないと後戻りすることがあります。
  • 歯根吸収や歯肉退縮などが起こる可能性があります。
  • ワイヤー矯正の場合、ブラケットが口を傷付けることがあり、口内炎なども起きやすくなります。
  • ワイヤーを用いた矯正期間中は、ブラケットの隙間に食べ物が挟まりやすく、歯磨きもしにくいため、虫歯や歯周病になりやすくなるため、日々のメンテナンスが必要です。
CASE7
マークをスライドしてご覧ください
インプラント症例6
インプラント症例6
主訴
治療内容
治療期間
費用 円(税込)
リスク
副作用
  • 矯正終了後、決められた期間保定装置を装着しないと後戻りすることがあります。
  • 歯根吸収や歯肉退縮などが起こる可能性があります。
  • ワイヤー矯正の場合、ブラケットが口を傷付けることがあり、口内炎なども起きやすくなります。
  • ワイヤーを用いた矯正期間中は、ブラケットの隙間に食べ物が挟まりやすく、歯磨きもしにくいため、虫歯や歯周病になりやすくなるため、日々のメンテナンスが必要です。
COUNSELING
矯正歯科、インプラント
お考えの方は、お気軽に
『無料相談』をご利用ください
矯正無料相談
直近の予約可能日
インプラント無料相談
直近の予約可能日
にしだ歯科・矯正歯科クリニック
〒594-0023
大阪府和泉市伯太町6-11-45

【JR信太山駅より徒歩3分】
【専用駐輪場5台完備】

tel 0725-44-1188

診療時間
9:00~12:00
13:00~18:00

【休診日】木曜日、祝日

トップへ