インプラント
症例集

Case
トップページ > インプラント症例集
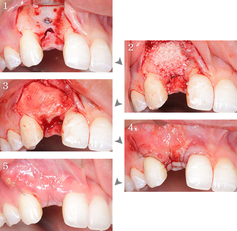
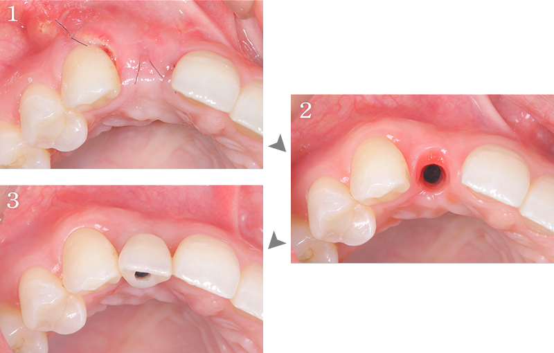
CASE1
右上前歯部にGBRを併用しインプラント治療を行なった1症例
マークをスライドしてご覧ください
インプラント症例2
インプラント症例2
主訴 右上の前歯に歯を入れたい
治療内容 右上側切歯インプラント、GBR
治療期間 約1年
費用 インプラント埋入手術:27.5万円(税込)
セラミック補綴:22万円(税込)
GBR:11万円(税込)
リスク
副作用
  • 治療には必ず手術を伴います。
  • 重度の歯周病がある場合は、インプラント埋入後、脱離のリスクが高いです。
  • 体質等によりインプラントと骨の定着が困難な場合があります。
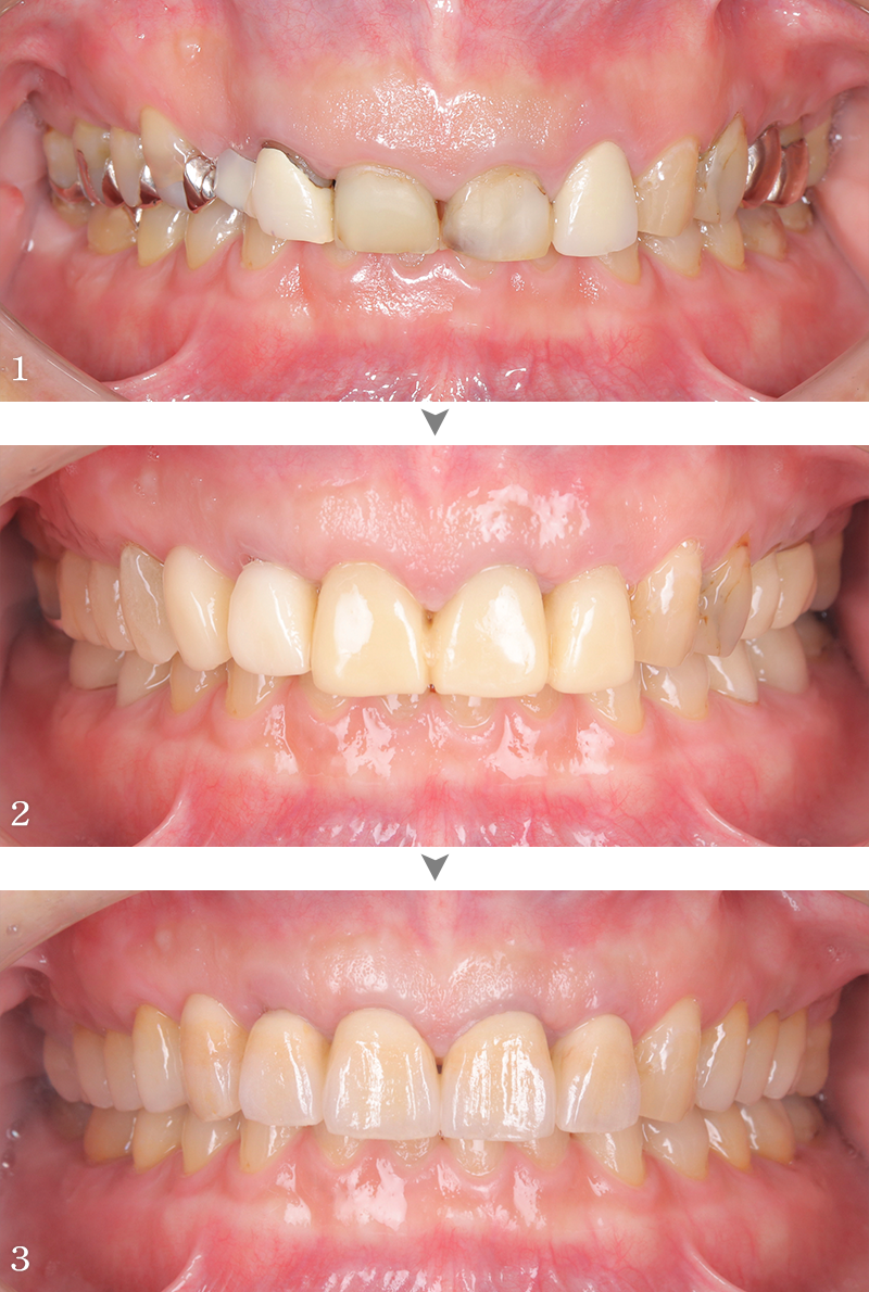
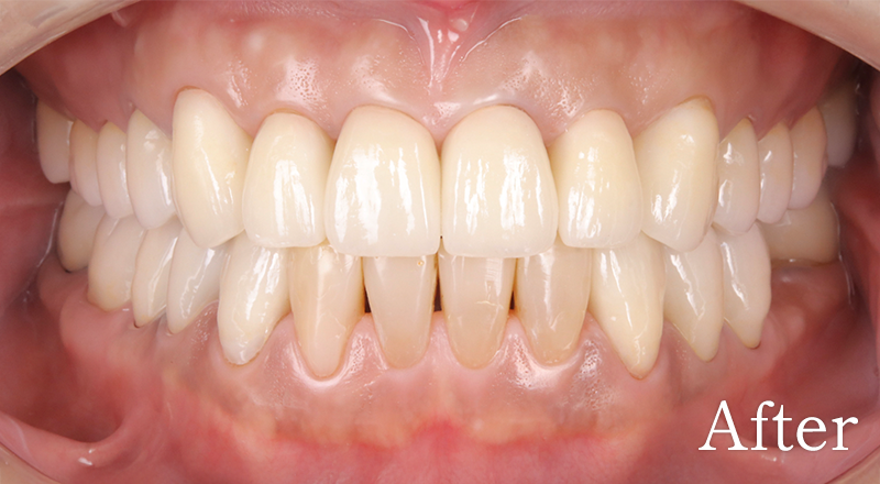
CASE2
骨格2級患者に対し、審美と機能の両立を図り治療を行なった1症例
マークをスライドしてご覧ください
インプラント症例3
インプラント症例3
主訴 右上のブリッジがよく外れる
治療内容 上犬歯インプラント、GBR、咬合再構成、上顎前歯部歯冠長延長術、セラミック治療
治療期間 約2年
費用 診断料:22万円(税込)
右上犬歯インプラント埋入手術:27.5万円(税込)
GBR:11万円(税込)
セラミック補綴:22万円(税込)
セラミック治療:11万円(税込)×18本
リスク
副作用
  • 治療には必ず手術を伴います。
  • 重度の歯周病がある場合は、インプラント埋入後、脱離のリスクが高いです。
  • 体質等によりインプラントと骨の定着が困難な場合があります。
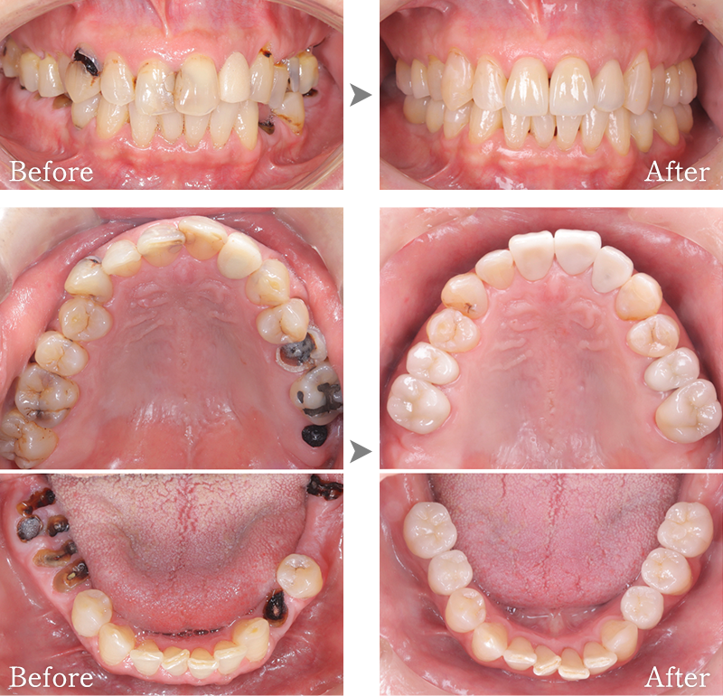
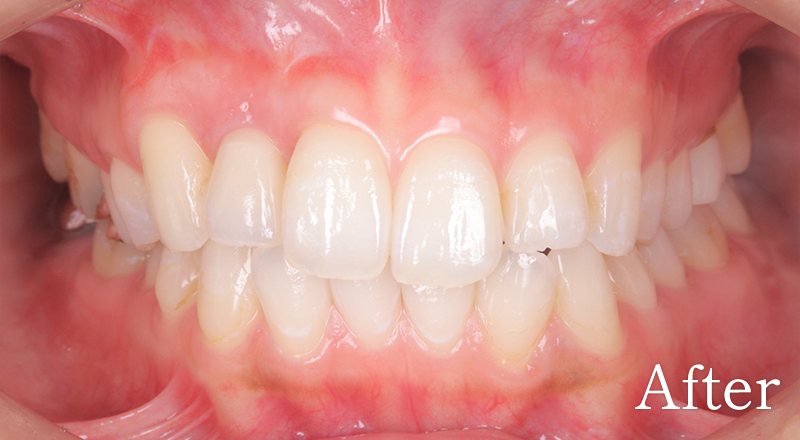
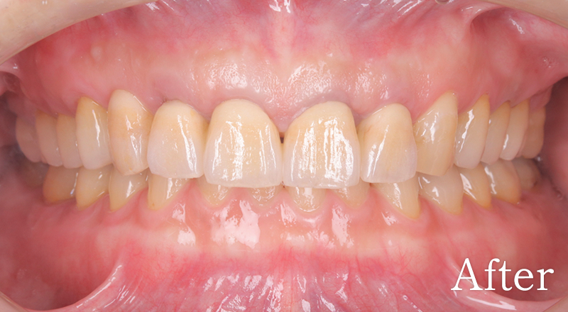
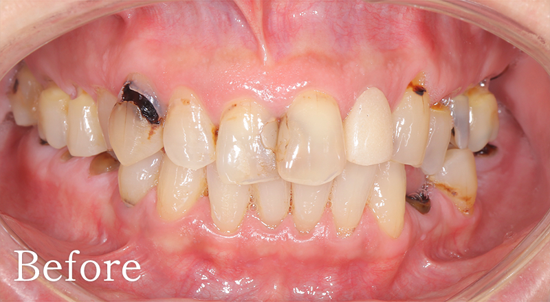
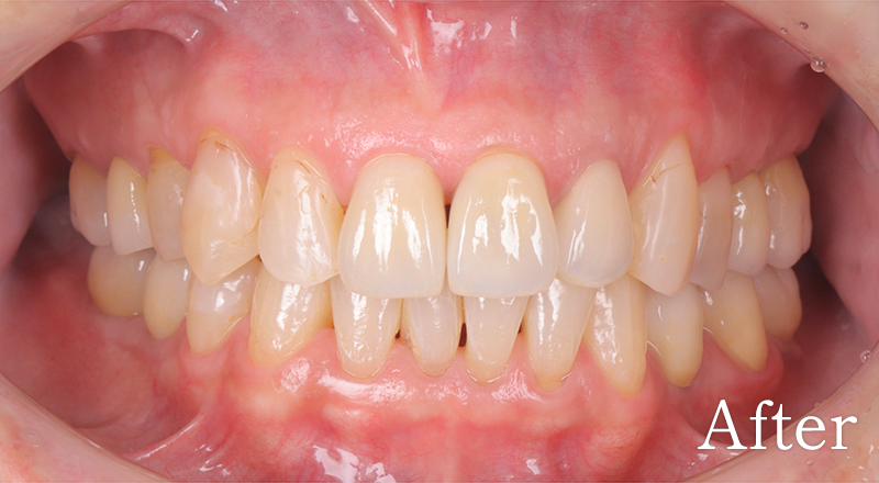
CASE3
骨格2級患者に対し、臼歯部にインプラント治療を行い咬合回復を行なった1症例
マークをスライドしてご覧ください
インプラント症例4
インプラント症例4
主訴 奥歯でうまく噛めない
治療内容 上下顎臼歯部インプラント、咬合再構成、セラミック治療
治療期間 約2年
費用 診断料:22万円(税込)
上顎顎臼歯部インプラント埋入手術:22万円(税込)×6本
セラミック補綴:22万円(税込)×6本
セラミック治療:11万円(税込)×12本
リスク
副作用
  • 治療には必ず手術を伴います。
  • 重度の歯周病がある場合は、インプラント埋入後、脱離のリスクが高いです。
  • 体質等によりインプラントと骨の定着が困難な場合があります。
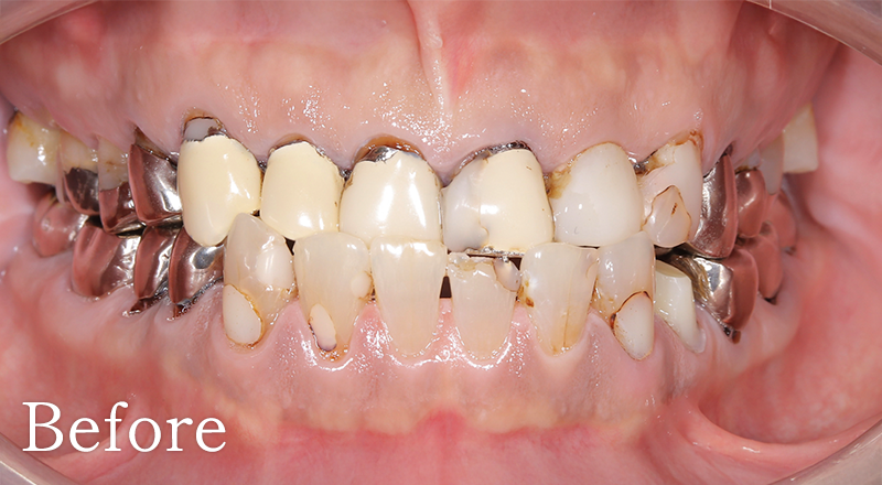
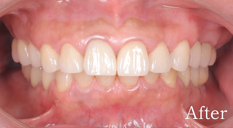
CASE4
骨格1級患者に対し、臼歯部にインプラント治療を行い咬合回復を行なった1症例
マークをスライドしてご覧ください
インプラント症例5
インプラント症例5
主訴 右側でうまく噛めない
治療内容 下顎臼歯部インプラント、咬合再構成、上顎矯正治療、セラミック治療
治療期間 約2年
費用 診断料:22万円(税込)
下顎顎臼歯部インプラント埋入手術:22万円(税込)×4本
セラミック補綴:22万円(税込)×4本
セラミック治療:11万円(税込)×9本
矯正治療:44万円(税込)
リスク
副作用
  • 治療には必ず手術を伴います。
  • 重度の歯周病がある場合は、インプラント埋入後、脱離のリスクが高いです。
  • 体質等によりインプラントと骨の定着が困難な場合があります。
CASE5
骨格3級患者に対し、臼歯部にインプラント治療を行い咬合回復を行なった1症例
マークをスライドしてご覧ください
インプラント症例7
インプラント症例7
主訴 噛もうとすると受け口になってしまう
治療内容 下顎臼歯部インプラント、咬合再構成、セラミック治療
治療期間 約1年
費用 診断料:22万円(税込)
下顎顎臼歯部インプラント埋入手術:22万円(税込)×1本
セラミック補綴:22万円(税込)×1本
セラミック治療:11万円(税込)×23本
リスク
副作用
  • 治療には必ず手術を伴います。
  • 重度の歯周病がある場合は、インプラント埋入後、脱離のリスクが高いです。
  • 体質等によりインプラントと骨の定着が困難な場合があります。
COUNSELING
矯正歯科、インプラント
お考えの方は、お気軽に
『無料相談』をご利用ください
矯正無料相談
直近の予約可能日
インプラント無料相談
直近の予約可能日
にしだ歯科・矯正歯科クリニック
〒594-0023
大阪府和泉市伯太町6-11-45

【JR信太山駅より徒歩3分】
【専用駐輪場5台完備】

tel 0725-44-1188

診療時間
9:00~12:00
13:00~18:00

【休診日】木曜日、祝日

トップへ